当前位置: 首页 > 产品大全 > 结节性红斑与白塞氏病的鉴别诊断

结节性红斑与白塞氏病的鉴别诊断

结节性红斑与白塞氏病的鉴别诊断

结节性红斑是一种常见的炎症性皮肤病,表现为皮下红色或紫色疼痛性结节,多见于下肢。而白塞氏病是一种慢性、复发性多系统炎症性疾病,以口腔溃疡、生殖器溃疡和眼部炎症为主要特征,但也可出现皮肤损害如结节性红斑样病变。因此,在临床实践中,结节性红斑与白塞氏病之间的鉴别诊断至关重要,尤其是在白塞氏病早期或以皮肤表现为首发症状时。以下从病因、临床表现、诊断标准及相关检查等方面进行对比分析。

从病因和发病机制来看,结节性红斑多与感染(如链球菌、结核)、药物反应、自身免疫性疾病(如结节病、炎症性肠病)或特发性因素相关,是一种反应性过程。而白塞氏病的确切病因尚不明确,目前认为与遗传、免疫异常及环境因素(如病毒感染)有关,属于系统性血管炎的一种类型。因此,在评估患者时,需详细询问病史,包括感染史、家族史和用药史,以寻找潜在诱因。

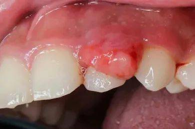
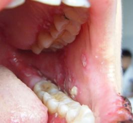
临床表现方面,结节性红斑主要表现为对称分布的皮下结节,通常位于胫前区,伴有疼痛和压痛,但一般不形成溃疡,且常伴有发热、关节痛等全身症状,但无特异性系统损害。结节多在数周内自行消退,可能复发。相比之下,白塞氏病的皮肤损害可类似结节性红斑,但常伴有其他典型特征:复发性口腔溃疡(至少每年发作3次)、生殖器溃疡、眼部病变(如葡萄膜炎)、关节炎,以及神经系统、胃肠道或血管受累的表现。白塞氏病的皮肤结节可能更易形成脓疱或溃疡,且病程慢性、反复发作。

在诊断标准上,结节性红斑主要依赖临床特征和活检(显示脂膜炎),需排除其他病因。而白塞氏病的诊断通常依据国际研究小组标准,包括复发性口腔溃疡加上至少两项其他表现(如生殖器溃疡、眼部病变、皮肤病变或针刺反应阳性)。其中,针刺反应(皮肤对轻微创伤的超敏反应)是白塞氏病的特征性表现,有助于鉴别。

辅助检查方面,结节性红斑患者应进行血常规、炎症标志物(如ESR、CRP)、胸片(排除结节病或结核)及特定病原体检测。白塞氏病则需更全面的评估,包括眼科检查、血管影像学(如发现动脉瘤)、HLA-B51检测(部分患者阳性),以及活检显示血管炎改变。

结节性红斑与白塞氏病的鉴别诊断需综合病史、体格检查、实验室和影像学结果。关键区别在于白塞氏病具有多系统受累的特点,而结节性红斑多为局限性皮肤反应。及时准确的诊断有助于指导治疗:结节性红斑以对症处理为主,而白塞氏病需免疫抑制剂治疗以防止严重并发症。临床医生应保持警惕,避免误诊延误病情。

如若转载,请注明出处:http://www.baisaishi.net/product/3.html

更新时间:2025-12-15 03:51:49